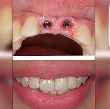
Gigi Palsu Anak : Begitulah yang dialami oleh pelakon wawa zainal apabila melihat keadaan gigi anaknya, hayla maghrifatul adziyaa, 6, yang semakin rosak.

Gigi Palsu Anak : Begitulah yang dialami oleh pelakon wawa zainal apabila melihat keadaan gigi anaknya, hayla maghrifatul adziyaa, 6, yang semakin rosak.. Potensi risiko saat operasi dan efek samping setelah operasi harus diwaspadai betul dan perlu mendapat perhatian khusus. Sebelum ini, pelakon dan usahawan wawa zainal meluahkan perasaan bimbang terhadap masalah gigi reput dua orang anaknya iaitu ahmad fakhruddin attar dan hayla maghfiratul adzkiyaa. Bagi kumpulan usia 65 hingga 74 tahun, sebanyak 11.1 peratus pesakit tidak bergigi dan jumlahnya meningkat hampir dua kali ganda, kepada 21.4. Wawa zainal memuatnaik video pendek di laman instagram membawa anak keduanya, hayla maghfiratul adzkiyaa melalui prosedur memasang gigi palsu yang sama seperti orang dewasa memasang gigi palsu. Untuk membantu mengetatkan gigi palsu itu, satu atau lebih cangkuk diletakkan pada gigi palsu.

Gigi palsu lepasan ini dibuat sangat mirip dengan gigi asli. Gigi palsu tidak direka dengan baik boleh menghalang tumbesaran rahang pesakit dan boleh memudaratkan tisu lembut di dalam mulut seperti menyebabkan ulser atau penyusutan gusi. Wawa zainal tunai hasrat anak pakai gigi palsu usia 6 tahun. Gigi palsu biasanya dibutuhkan oleh orang yang berusia 60 tahun ke atas, karena umumnya di usia tersebut, gigi secara alami mulai copot dengan sendirinya. Begitulah yang dialami oleh pelakon wawa zainal apabila melihat keadaan gigi anaknya, hayla maghrifatul adziyaa, 6, yang semakin rosak.

Monyong Karena Gigi Palsu Bergeser
Monyong Karena Gigi Palsu Bergeser from asset.kompas.com
Bagaimanapun perkongsian wawa zainal mengenai prosedur memasang gigi palsu tersebut di instagram ini mendapat perhatian umum. Gigi palsu boleh digunakan anak muda? Gigi palsu tidak direka dengan baik boleh menghalang tumbesaran rahang pesakit dan boleh memudaratkan tisu lembut di dalam mulut seperti menyebabkan ulser atau penyusutan gusi. Daftar harga gigi palsu lepasan terbaru juli 2021. Pasti ramai tahu sebelum ini, pelakon wawa zainal pernah meluahkan rasa bimbang mengenai masalah gigi dua orang anaknya iaitu ahmad fakhruddin attar dan hayla maghfiratul adzkiyaa. Sama macam pelakon ini, wawa zainal berjaya menunaikan impian anak keduanya yang bernama hayla maghfiratul adziyaa yang berusia 6 tahun untuk memiliki gigi cantik dengan cara memakaikan gigi palsu. Melayani pengobatan pasien sakit gigi, tambal gigi berlubang, pasang kawat gigi (behel), pasang gigi palsu, cabut gigi, obat sakit gigi dan lainnya. Frc juga sesuai untuk mereka yang nak segera gantikan kehilangan gigi.

Setelah sekian lama, akhirnya wawa zainal menunaikan juga hasrat anak keduanya itu bagi memiliki gigi yang cantik.

Daftar harga gigi palsu lepasan terbaru juli 2021. Gigi palsu lengkap merupakan gigi tiruan yang dibuat untuk menggantikan semua gigi anda yang hilang, entah itu yang gigi bagian atas, gigi bagian bawah, maupun keduanya. Sakit gigi sakit gigi yang tidak tertahankan dapat menjadi tanda kerusakan pada gigi yang menjalar ke bagian akar gigi. Selepas makan, bersihkan gigi palsu dengan air. Kehilangan gigi dapat terjadi disegala usia, tidak terkecuali bagi kamu yang sudah masuk usia remaja hingga dewasa. Wawa atau nama sebenarnya, nur hawa zainal abidin, 30, berkata, anaknya melalui prosedur yang sama seperti orang d3wasa yang ingin memasang gigi palsu. Dengan dokter spesialis gigi serta asisten tenaga kesehatan yang profesional, ma. Pembuatan gigi palsu bisa dilakukan di faskes i, atau faskes tingkat lanjutan. Lepas tu kalau tak nak guna, rendam dalam air bersih dan tutup botol / bekas kita simpan gigi palsu ni. Statistik 2016 kementerian kesihatan malaysia menunjukkan bahawa secara purata jumlah gigi yang ada akan berkurangan dengan peningkatan usia. Biaya maksimal untuk penggantian gigi tiruan sebesar rp1 juta. Di audy dental, kamu dapat memilih berbagai jenis gigi tiruan baik yang permanen maupun yang lepasan. Gigi palsu yang tidak ditanam lebih memungkinkan untuk bergeser atau terlepas.

Anda hadapi masalah yang sama? Begitulah yang dialami oleh pelakon wawa zainal apabila melihat keadaan gigi anaknya, hayla maghrifatul adziyaa, 6, yang semakin rosak. Bagi kumpulan usia 65 hingga 74 tahun, sebanyak 11.1 peratus pesakit tidak bergigi dan jumlahnya meningkat hampir dua kali ganda, kepada 21.4. Sakit gigi sakit gigi yang tidak tertahankan dapat menjadi tanda kerusakan pada gigi yang menjalar ke bagian akar gigi. Menurut wawa zainal, anaknya hayla atau nama penuhnya hayla maghrifatul adziyaa melalui prosedur yang sama seperti orang dewasa untuk memasang gigi palsu.

Pentingnya Mengganti Gigi Yang Hilang Dengan Gigi Tiruan Rsgm Maranatha
Pentingnya Mengganti Gigi Yang Hilang Dengan Gigi Tiruan Rsgm Maranatha from rsgm.maranatha.edu
Mahu melihat anaknya memiliki gigi, wawa mengambil keputusan untuk mengenakan gigi palsu buat hayla. Harga plat metal gigi palsu lepasan. Bagaimanapun perkongsian wawa zainal mengenai prosedur memasang gigi palsu tersebut di instagram ini mendapat perhatian umum. Wawa zainal tunai hasrat anak pakai gigi palsu usia 6 tahun. Kehilangan gigi dapat terjadi disegala usia, tidak terkecuali bagi kamu yang sudah masuk usia remaja hingga dewasa. Gigi palsu lengkap merupakan gigi tiruan yang dibuat untuk menggantikan semua gigi anda yang hilang, entah itu yang gigi bagian atas, gigi bagian bawah, maupun keduanya. Gigi palsu biasanya boleh tahan sehingga 5 tahun kalau di jaga dengan betul. Wawa zainal memuatnaik video pendek di laman instagram membawa anak keduanya, hayla maghfiratul adzkiyaa melalui prosedur memasang gigi palsu yang sama seperti orang dewasa memasang gigi palsu.

Berdasarkan jenisnya, gigi palsu dapat dibagi menjadi dua, yaitu:

Gigi tiruan/gigi palsu adalah salah satu pilihan perawatan gigi yang bisa kamu pilih untuk menggantikan gigi yang hilang atau telah dicabut. Untuk membantu mengetatkan gigi palsu itu, satu atau lebih cangkuk diletakkan pada gigi palsu. Gigi palsu lepasan ini dibuat sangat mirip dengan gigi asli. Harga plat gigi palsu lepasan flexible tidak mudah patah. Di audy dental, kamu dapat memilih berbagai jenis gigi tiruan baik yang permanen maupun yang lepasan. Terbaru, pemilik nama nur hawa zainal abidin itu menunaikan impian anak perempuannya hayla bagi memiliki gigi cantik melalui rawatan pemasangan gigi palsu seperti orang dewasa. Frc juga sesuai untuk mereka yang nak segera gantikan kehilangan gigi. Harga plat metal gigi palsu lepasan. Gigi palsu yang tidak ditanam lebih memungkinkan untuk bergeser atau terlepas. Selepas makan, bersihkan gigi palsu dengan air. Gigi palsu biasanya boleh tahan sehingga 5 tahun kalau di jaga dengan betul. Ketika berbicara, hal ini membuat suara yang keluar akan terdengar seperti bergumam alias tidak jelas. Menerusi perkongsian video di instagram wawa zainal semalam yang mendapat lebih 800 ribu tontonan, dia menceritakan yang anaknya melalui prosedur.

Membawa anak untuk kunjungan ke dokter gigi seringkali menjadi tantangan tersendiri. Terbaru, menerusi satu perkongsian di instagram, wawa berkata. Harga plat gigi palsu lepasan flexible tidak mudah patah. Begitulah yang dialami oleh pelakon wawa zainal apabila melihat keadaan gigi anaknya, hayla maghrifatul adziyaa, 6, yang semakin rosak. Frc juga sesuai untuk mereka yang nak segera gantikan kehilangan gigi.

Bolehkah Kanak Kanak Memakai Gigi Palsu Portal Myhealth
Bolehkah Kanak Kanak Memakai Gigi Palsu Portal Myhealth from www.myhealth.gov.my
Bagi kumpulan usia 65 hingga 74 tahun, sebanyak 11.1 peratus pesakit tidak bergigi dan jumlahnya meningkat hampir dua kali ganda, kepada 21.4. Gigi palsu biasanya boleh tahan sehingga 5 tahun kalau di jaga dengan betul. Untuk membantu mengetatkan gigi palsu itu, satu atau lebih cangkuk diletakkan pada gigi palsu. Sebelum ini, pelakon dan usahawan wawa zainal meluahkan perasaan bimbang terhadap masalah gigi reput dua orang anaknya iaitu ahmad fakhruddin attar dan hayla maghfiratul adzkiyaa. Beberapa kondisi yang dapat menyebabkan kehilangan gigi atau memerlukan penggunaan gigi palsu adalah: Hayla ditidurkan masa operate buang gigi dan alhamdulillah selepas dia bangun tiada rasa sakit pun, kata wawa. Dengan dokter spesialis gigi serta asisten tenaga kesehatan yang profesional, ma. Di audy dental, kamu dapat memilih berbagai jenis gigi tiruan baik yang permanen maupun yang lepasan.

Gigi palsu lepasan ini dibuat sangat mirip dengan gigi asli.

Menurut wawa zainal, anaknya hayla atau nama penuhnya hayla maghrifatul adziyaa melalui prosedur yang sama seperti orang dewasa untuk memasang gigi palsu. Sejauh ini ada 3 macam gigi palsu permanen yang udah dikenal, yaitu implant, crown, dan bridge. Wawa atau nama sebenarnya, nur hawa zainal abidin, 30, berkata, anaknya melalui prosedur yang sama seperti orang d3wasa yang ingin memasang gigi palsu. Advertisement di dalam video pendek tersebut juga terlihat gelagat hayla dari … Berdasarkan jenisnya, gigi palsu dapat dibagi menjadi dua, yaitu: Implant terdiri dari 2 bagian, part 1 implant, yang ditanam dalam gusi dan berfungsi sebagai akar buatan dan. Gigi palsu biasanya boleh tahan sehingga 5 tahun kalau di jaga dengan betul. Beberapa kondisi yang dapat menyebabkan kehilangan gigi atau memerlukan penggunaan gigi palsu adalah: Harga plat gigi palsu lepasan flexible tidak mudah patah. Terbaru, pemilik nama nur hawa zainal abidin itu menunaikan impian anak perempuannya hayla bagi memiliki gigi cantik melalui rawatan pemasangan gigi palsu seperti orang dewasa. Wawa zainal memuatnaik video pendek di laman instagram membawa anak keduanya, hayla maghfiratul adzkiyaa melalui prosedur memasang gigi palsu yang sama seperti orang dewasa memasang gigi palsu. 📞 011 3126 3121 (eva bandar kuantan) 📞 010 243 3121 (eva jaya gading) Gigi palsu tidak direka dengan baik boleh menghalang tumbesaran rahang pesakit dan boleh memudaratkan tisu lembut di dalam mulut seperti menyebabkan ulser atau penyusutan gusi.

Related : Gigi Palsu Anak : Begitulah yang dialami oleh pelakon wawa zainal apabila melihat keadaan gigi anaknya, hayla maghrifatul adziyaa, 6, yang semakin rosak..